Accepting New Patients - Call to Book Now!

Accepting New Patients - Call to Book Now!

Empowering Your Journey to a Healthier Spine and a Lifetime of Well-Being

In the Spokane Area?

Why Realign Spine?

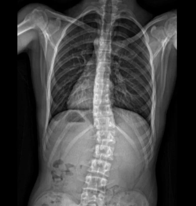
Realign Spine, PLLC is a physical therapy practice located in North Spokane that specializes in conservative management of scoliosis and hyperkyphosis (i.e. Scheuermann’s kyphosis) across the lifespan using Schroth-based principles. We offer conservative treatment options and education to patients while collaborating with other providers to achieve the best patient outcome.

Realign Spine has something for everyone.

“...She addressed my scoliosis directly, explained mechanics specific to my back and tailored exercises for my issues that actually corrected my posture AND eliminated my back pain...”

“I cannot say enough good things about Rachel! She truly wants to help you and find a routine that will work into your life. She is very reasonable in her expectations and explains things in a way that is easy to understand. Sessions were fairly priced and the time was used efficiently.”

“Saw great improvement in my posture and overall pain! Would definitely recommend Rachel”

Meet Rachel

Discover more about Realign Spine’s expert therapist.

Book a free Consultation!

Realign Spine is accepting new clients! Book a consultation now to receive treatment customized to you!

See How Patients Achieved Results

Partnered with LMNT

Use our referral link below to learn more & receive a FREE variety pack with your online order!